A mineral sample analyzed in the 19th century led chemists to a new element named for Johan Gadolin — gadolinium — a metal whose unusual magnetic and nuclear properties quietly power technologies we use today. Atomic number 64, gadolinium sits among the lanthanides and stands out for a very large magnetic moment from its unpaired 4f electrons and for exceptional neutron-capture behavior (Gd‑157 has an extremely large thermal neutron-capture cross‑section on the order of 2.5×105 barns). Contrast agents emerged in the late 1980s, so many clinicians and patients first encountered gadolinium as an MRI assistant.
But gadolinium matters beyond radiology: its paramagnetism makes it ideal for MRI and research probes, its isotopes serve as powerful neutron absorbers in reactors and detectors, and its compounds find roles in magnets, optics, and scintillators. Gadolinium’s rare combination of strong paramagnetism, a very high neutron-capture cross-section, and useful optical properties explains why it’s used broadly — from MRI scanners to nuclear reactors and advanced materials — and this article explains seven practical uses. Read on for grouped examples across medicine, nuclear/energy, and materials science.
Medical and Biomedical Applications

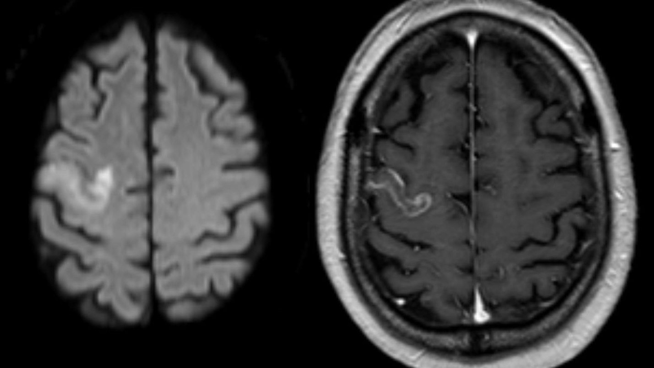
When people think of the uses of gadolinium, MRI contrast usually comes to mind. Its paramagnetic 4f electrons shorten T1 relaxation times, enhancing signal in MR scans, while specialized chelates and nanoparticles extend that capability into research and experimental therapies.
1. MRI contrast agents (gadolinium-based contrast agents)
The single most familiar use of gadolinium is as the active center in MRI contrast agents. Gadolinium ions (Gd3+) have seven unpaired electrons; their magnetic moment interacts with nearby water protons and shortens T1 relaxation times, producing brighter signal on T1-weighted images. Commercial Gd-chelate products were introduced clinically in the late 1980s and include Magnevist (gadopentetate dimeglumine), Gadavist (gadobutrol), and Dotarem (gadoterate meglumine).
Safety shaped practice: nephrogenic systemic fibrosis (NSF) was linked to gadolinium exposure in patients with severe renal failure in the mid-2000s, prompting label changes and screening protocols. Later studies around 2014 documented trace gadolinium deposition in brain tissue after multiple administrations, which led clinicians to prefer macrocyclic chelates and minimize repeat dosing when possible. In routine care, Gd agents improve detection of small brain metastases, enhance liver-lesion characterization, and enable MR angiography and cardiac MRI for pre-surgical planning.
2. Neutron capture therapy and experimental radiotherapy
Certain gadolinium isotopes are attractive for neutron-capture–based cancer treatments. Gd‑157 has an enormous thermal neutron-capture cross-section (on the order of 2.5×105 barns), so when it absorbs a neutron it emits short-range conversion electrons and gamma cascades that deposit energy locally.
Researchers have explored Gd‑NCT (gadolinium neutron capture therapy) as an alternative to boron neutron capture therapy (BNCT), particularly for tumors where high local dose from capture products would help. The main barriers remain targeted delivery and biodistribution—getting enough Gd into malignant cells while sparing healthy tissue. Strategies include Gd-labeled antibodies and nanoparticles; work is largely preclinical or in early-phase trials rather than routine clinical use.
3. Research probes, biosensors, and cell tracking
Gadolinium compounds and Gd-doped nanoparticles are staples of biomedical research beyond routine imaging. High-relaxivity Gd-chelates or particles can be functionalized to bind biomarkers, allowing targeted MRI of molecular signatures and in vivo cell tracking.
Applications include labeling stem cells to follow their migration, conjugating Gd-chelates to antibodies for molecular MRI, and building multimodal particles that carry fluorescent or PET labels alongside Gd for combined imaging. Examples in preclinical work use Gd-doped silica or iron-oxide hybrid particles and Gd-chelate–antibody conjugates; advantages include tunable surface chemistry and strong MRI contrast per particle.
Nuclear, Energy, and Safety Uses

Gadolinium’s extraordinary neutron‑capture properties make it valuable in the nuclear industry and radiation detection. Natural gadolinium contains appreciable fractions of Gd‑155 and Gd‑157 (each roughly in the mid‑teens percent), which is why Gd compounds are effective as neutron absorbers in fuel and as conversion layers in detectors.
4. Neutron absorber and burnable poison in nuclear fuel
Gadolinium oxide (Gd2O3) is routinely used in pressurized water reactors (PWRs) as a burnable poison to manage excess reactivity. Gd-bearing powders are blended into UO2 fuel pellets so the gadolinium isotopes absorb excess thermal neutrons early in the fuel cycle, then burn away as the cycle proceeds.
Because Gd‑155 and Gd‑157 have very large capture cross-sections, a small concentration of Gd2O3 can significantly flatten the initial reactivity profile, enabling higher initial enrichment and more predictable burnup. The operational benefits include improved fuel economy, reduced need for control‑rod movement, and smoother power peaking management. Gadolinium-bearing fuel assemblies are a standard option in many commercial PWR designs and are implemented by a range of fuel vendors and utilities with established handling and regulatory controls for neutron absorbers.
5. Neutron detection and radiation shielding materials
Gadolinium also enhances neutron detection and specialized shielding. When Gd captures a thermal neutron it emits energetic gamma rays and conversion electrons that are readily detected by scintillators or semiconductor sensors, so adding Gd to detector converters improves sensitivity to thermal neutrons.
Examples include Gd-doped scintillator panels and Gd-lined conversion layers in neutron cameras and security scanners. Depending on design, incorporating gadolinium can raise thermal neutron capture probability substantially compared with converters that lack a high‑Z, high‑cross‑section material—improving detection efficiency and spatial resolution for neutron imaging and screening applications.
Materials Science and Industrial Applications

Gadolinium’s magnetic, optical, and alloying properties drive uses in electronics, refrigeration research, and optics. Engineers and materials scientists exploit Gd in niche magnetic alloys, magnetocaloric prototypes, phosphors, scintillators, and specialty glasses for demanding optical components.
6. High-performance magnets and magnetocaloric materials
Gadolinium appears in specialized magnetic alloys and is prominent in magnetocaloric research for solid‑state refrigeration. Compounds such as GdCo5 and members of the Gd5(Si2Ge2) family show strong magnetic moments and, in certain compositions, sizeable magnetocaloric effects near room temperature.
Laboratory prototypes using Gd alloys have demonstrated temperature changes of several degrees Celsius under practical magnetic fields, enough to interest researchers pursuing energy‑efficient, solid‑state cooling for appliances and electronics. Gadolinium-containing magnetic materials are also used in precision sensors and niche devices where a high magnetic moment or tunable Curie point is valuable.
7. Phosphors, optics, and specialized alloys
Gadolinium compounds improve optical and electronic materials. Gd2O3 is used in optical glass and ceramics to raise refractive index and improve thermal stability, while Gd-doped phosphors and scintillators serve in lighting and detector technologies.
Concrete examples include gadolinium oxyorthosilicate (Gd2SiO5, GSO) scintillators used in some PET and X‑ray detectors, and Gd2O2S:Tb phosphors for imaging screens. Gadolinium additions in specialty alloys also aid electronics components that require stable magnetic or thermal properties in aerospace and industrial applications.
Summary
Gadolinium’s magnetic moment, exceptional neutron-capture behavior, and useful optical chemistry explain why a single element finds roles across medicine, nuclear energy, and materials science.
- Medical imaging: Gd‑based contrast agents (Magnevist, Gadavist, Dotarem) remain the most visible application, though safety concerns such as NSF (mid‑2000s) and brain deposition (around 2014) influence use.
- Nuclear uses: Gd‑155 and Gd‑157 (each roughly mid‑teens percent abundant) and Gd‑157’s ~2.5×105‑barn cross‑section make Gd2O3 a standard burnable poison in PWR fuel and a useful converter in neutron detectors.
- Materials and industry: from magnetocaloric alloys (GdCo5, Gd5(Si2Ge2)) to GSO scintillators and Gd‑doped optical glass, gadolinium enables niche high‑performance components.
- Research frontier: Gd‑labeled nanoparticles, Gd‑NCT studies, and solid‑state refrigeration prototypes show ongoing innovation, tempered by delivery and safety challenges.
Given its utility and the safety considerations tied to medical and nuclear use, continued research and responsible application will keep gadolinium valuable across sectors while protecting patients, workers, and the environment.

