Small, often overlooked, sesamoid bones sit where tendons glide over joints and help change the angle of pull or absorb pressure. They occur in several regions of the body and, despite their size, can influence movement, load distribution, and sites of pain.
There are 11 Examples of Sesamoid Bones, ranging from Cyamella (popliteus sesamoid) to Ulnar sesamoid (thumb). For each entry you’ll find below the columns Location, Function, Prevalence (%), Clinical significance, so you can quickly compare anatomy and common clinical issues you’ll find below.
How do sesamoid bones influence injury and joint mechanics?
Sesamoids alter tendon leverage and reduce friction, which helps with efficient motion but also concentrates stress; excessive load, repetitive motion, or direct trauma can cause sesamoiditis, fractures, or degenerative changes. Knowing their typical locations and prevalence helps clinicians target imaging and conservative treatments like offloading or immobilization.
When should I seek medical evaluation for suspected sesamoid problems?
See a clinician for persistent, focal pain, swelling, bruising, trouble pushing off while walking, or after a direct injury; diagnosis often uses targeted X-rays or MRI and usually starts with conservative care (rest, orthotics, NSAIDs), with referral for persistent or complicated cases.
Examples of Sesamoid Bones
| Name | Location | Function | Prevalence (%) | Clinical significance |
|---|---|---|---|---|
| Patella | Within quadriceps tendon over the anterior knee (patellofemoral joint) | Increases quadriceps lever arm; protects anterior knee | 100% | Fracture, bursitis, patellofemoral pain, chondromalacia |
| Pisiform | Within flexor carpi ulnaris tendon at the ulnar wrist (pisotriquetral joint) | Improves leverage of flexor carpi ulnaris; transfers tendon force | 100% | Pisotriquetral arthritis, fractures, ulnar-sided wrist pain |
| Medial sesamoid (hallux) | Plantar side of first metatarsophalangeal (MTP) joint within medial head of flexor hallucis brevis tendon | Weight-bearing; increase flexor hallucis brevis leverage; protect tendon | Nearly 100% | Sesamoiditis, fracture, osteoarthritis, turf toe |
| Lateral sesamoid (hallux) | Plantar side of first MTP joint within lateral head of flexor hallucis brevis tendon | Aids push-off; transmits flexor forces; protects tendon | Nearly 100% | Sesamoiditis, fracture, painful bipartite variants |
| Radial sesamoid (thumb) | Palmar side of first metacarpophalangeal (MCP) joint within intrinsic thumb tendons (radial side) | Improve thumb pinch leverage; protect MCP joint and tendon | Very common (~100%) | Thumb MCP arthritis, sesamoid fracture, painful pinch |
| Ulnar sesamoid (thumb) | Palmar side of first MCP joint within intrinsic thumb tendons (ulnar side) | Assist thumb stability and pinch; protect tendon | Very common (~100%) | Thumb MCP arthritis, sesamoid fracture, chronic MCP pain |
| Fabella | Within lateral gastrocnemius tendon or posterolateral knee capsule behind the lateral femoral condyle | Alters tendon leverage; may protect lateral gastrocnemius tendon | Variable (10-30%) | Posterolateral knee pain, fabella syndrome, impingement after TKA |
| Os peroneum | Within peroneus longus tendon near the cuboid at the lateral midfoot | Reduces friction and transmits peroneus longus tendon force across cuboid | Variable (5-26%) | Lateral foot pain, peroneus longus tendinopathy, fracture |
| Cyamella (popliteus sesamoid) | Within popliteus tendon at the posterior knee (rare) | May act as pulley for popliteus tendon, altering knee mechanics | Rare (<1%) | Rare posterior-lateral knee pain; usually incidental on imaging |
| Lesser toe sesamoids (MTP II–V) | Plantar side of metatarsophalangeal joints of toes 2–5 within flexor tendons or plantar plates | Assist flexion and protect flexor tendons during toe-off | Variable | Forefoot pain, bursitis, rarely fracture or symptomatic accessory ossicle |
| Palmar sesamoids (MCP II–V) | Palmar side of metacarpophalangeal joints of fingers within palmar plates or tendon insertions | Protect tendons, increase grip strength | Variable | Post-traumatic pain, arthritic involvement, rare surgical consideration |
Images and Descriptions

Patella
The patella is the largest sesamoid bone, embedded in the quadriceps tendon over the knee. It acts as a lever to improve knee extension and protects the joint. It’s clinically important for fractures and anterior knee pain.

Pisiform
The pisiform is a small sesamoid in the flexor carpi ulnaris tendon on the ulnar wrist. It functions as a pulley and increases tendon leverage. It can be a pain source in pisotriquetral arthritis or after fractures and overuse.

Medial sesamoid (hallux)
One of the two sesamoids beneath the big toe’s MTP joint, the medial sesamoid lies under the first metatarsal head in the flexor hallucis brevis tendon. It bears weight, aids push-off, and commonly causes pain when inflamed or fractured.

Lateral sesamoid (hallux)
The lateral sesamoid sits alongside the medial sesamoid beneath the first metatarsal head inside the lateral flexor hallucis brevis tendon. Together they act as pulleys during gait. They can fracture, become inflamed, or develop painful bipartite configurations.
Radial sesamoid (thumb)
A small sesamoid on the radial (thumb-side) face of the thumb’s MCP joint, embedded in tendons of intrinsic thumb muscles. It boosts pinch strength and smooths tendon action. It can be involved in arthritis or fracture after trauma.

Ulnar sesamoid (thumb)
The ulnar sesamoid sits on the inner side of the thumb’s MCP joint within intrinsic muscle tendons. Together with the radial sesamoid it stabilizes the joint and can cause pain or fracture after injury.

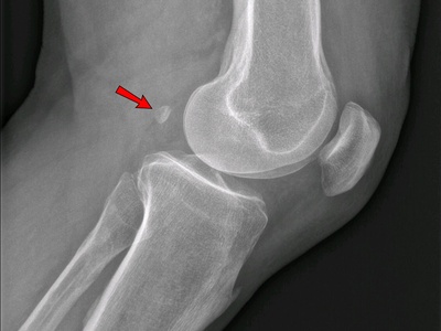
Fabella
The fabella is a small sesamoid in the lateral gastrocnemius tendon behind the knee. It’s variable across populations and may influence knee mechanics. When symptomatic it causes posterolateral knee pain, can impinge after knee replacement, or be mistaken for loose bodies.

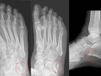
Os peroneum
The os peroneum is a sesamoid inside the peroneus longus tendon near the cuboid bone. It helps tendon leverage and smooths tendon passage under the foot. It can fracture or cause lateral foot pain and is associated with peroneus longus tendinopathy.

Cyamella (popliteus sesamoid)
The cyamella is a very rare sesamoid found in the popliteus tendon near the posterior knee. It’s usually an incidental imaging finding but can occasionally cause posterolateral knee pain or confusing radiographs. Reports in humans are uncommon.

Lesser toe sesamoids (MTP II–V)
Some people have small sesamoids under the MTP joints of toes two through five embedded in flexor tendons or plantar plates. They’re variable and often asymptomatic but can contribute to forefoot pain, bursitis, or be mistaken for accessory ossicles on imaging.

Palmar sesamoids (MCP II–V)
Small palmar sesamoids can occur at the MCP joints of the fingers, embedded within palmar plates or tendon insertions. They’re variable across individuals and help protect tendons and improve finger mechanics; they rarely cause symptoms but may appear after injury.

